Os planteamos un caso en tres episodios gracias a nuestra R4 Marina Ortuño:
Motivo de consulta: MEG, tos y fiebre.
E.A: Paciente de 64 años que acude a urgencias por tos con escasa expectoración, mal estado general y fiebre termometrada de hasta 39’7ºC junto con sensación distérmica de 3 días de evolución. Ha tomado paracetamol de 650mg y la fiebre no disminuye por lo que decide acudir a urgencias. Su madre tuvo un cuadro similar hace 2 días por lo que la acompañó a urgencias y ahora se encuentra ingresada. En esta ocasión el paciente presenta pérdida de conocimiento de segundos mientras realizaban analítica sanguínea a su madre. Fue diagnosticado de síncope vasovagal y dado de alta.
AP: HTA, Hiperuricemia, Dislipemia. Exfumador.
IQ: Faquectomia, quiste epidídimo.
Medicación habitual: Simvastatina, alopurinol, Olmesartan
E.F:
Tª: 39’2ºC, TA: 125/62, FC 120lpm, FR24rpm
REG. C y O . NC y NH.
Orofaringe normal
AR: MVC. Sin ruidos sobreañadidos.
AC: TCR. Sin soplos
Analítica:
Leucos 5.130 ( 75.6% N, 16.9 %L), Hb 13.5, Hto 39.8%, plaq 85.000, glu 127, Crpl 1.14, Na 140, K 4’9.Lactato 11’8
Gasometría arterial: pH 7.50,pCO2 29.2, pO2 59, CO3H 22.4, Sat O2 93.1%, K+ 4.2.
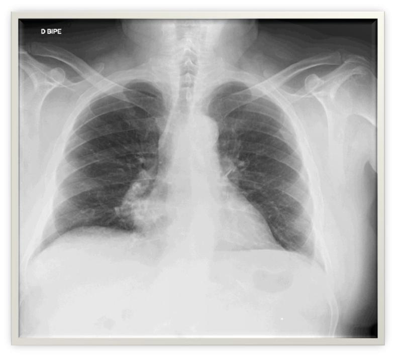
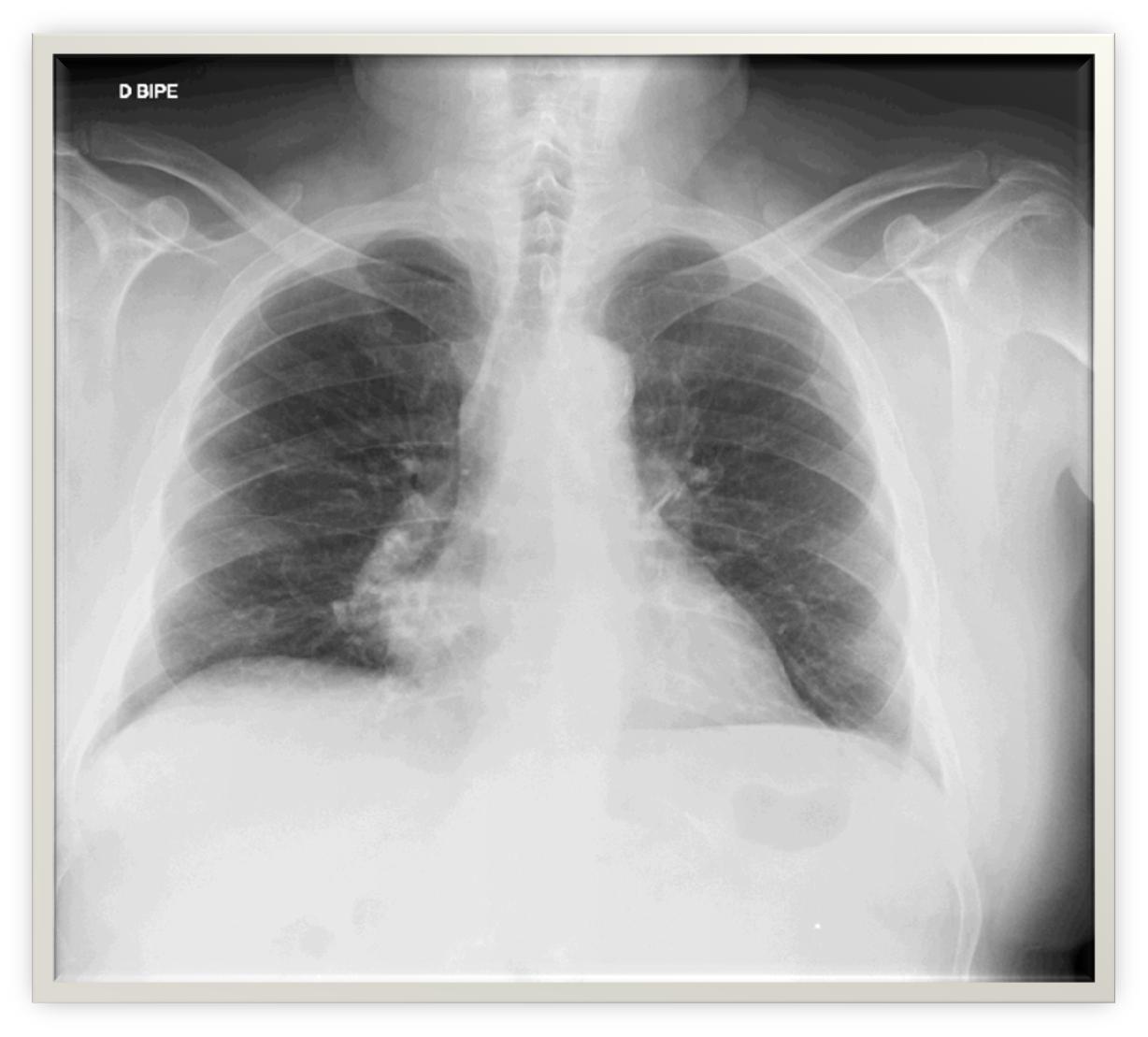
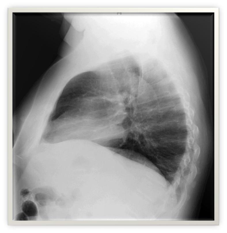
Rx tórax:
El miércoles, primera respuesta y continuación.




