7 comentarios sobre “Rx rodilla perfil

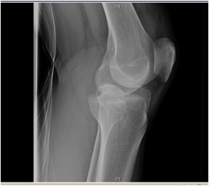
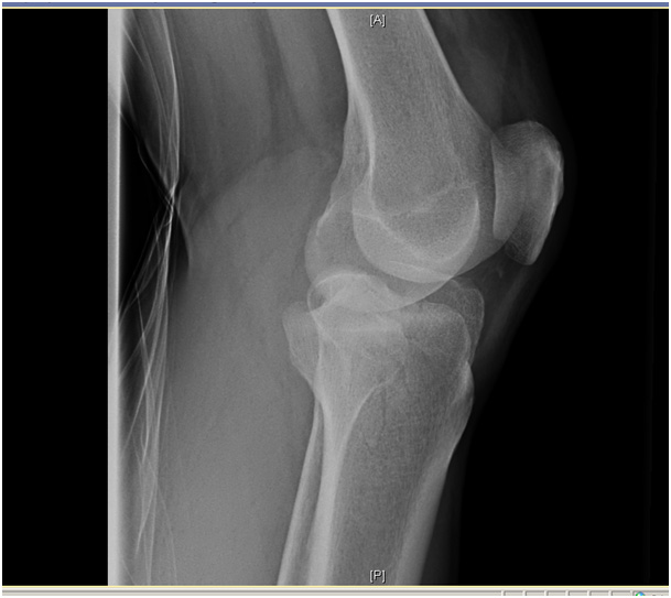
  1. Creo que se aprecia, mas en la Rx frente , fractura de meseta tibial y tuberosidad drcha. (espero que te gusto, Ignatius!)

    1. Kaixo
      Claro que me gusta el comentario!!! Y NO, nunca se me ha caído un caballo encima, igual que vos imagino algún grado de compromiso.
      Bienvenida a la red 2.0
      Y con la inflamable copa de krianza
      Agur desde Donostia
      Juan Ignacio Guerra

      1. También pienso que es una fractura de meseta tibial, pero ¿hay también una luxación?

Deja un comentario